CLL vs. SLL: Understanding Symptoms, Differences, and Treatments
Learn the key similarities and differences between CLL and SLL, their symptoms, causes, diagnosis, and treatment options.

CLL vs. SLL: Key Similarities and Differences
Chronic lymphocytic leukemia (CLL) and small lymphocytic lymphoma (SLL) are two closely related forms of blood cancer. Both originate from abnormal B lymphocytes, a kind of white blood cell that plays a critical role in the immune system. Despite sharing many features, these conditions differ primarily by the location in which cancerous B cells accumulate in the body. Understanding their distinctions, symptoms, causes, and treatment options can help patients and caregivers make informed decisions about care.
What Are CLL and SLL?
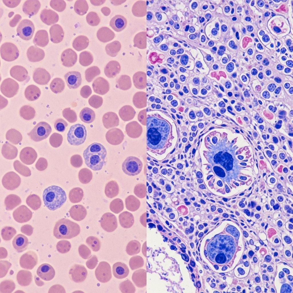
- Chronic lymphocytic leukemia (CLL): Cancerous B cells build up mainly in the blood and bone marrow. This form is labeled ‘leukemia’ because it mainly involves cells circulating in the bloodstream.
- Small lymphocytic lymphoma (SLL): Cancerous B cells accumulate chiefly in the lymph nodes and other lymphatic tissues. This form is called ‘lymphoma’ as the abnormal cells are concentrated outside the blood, particularly in the lymphatic system.
Both CLL and SLL develop due to the uncontrolled growth of B lymphocytes, which can crowd out healthy blood cells and disrupt normal function.
CLL and SLL: The Same Disease Manifesting Differently
Medical experts generally regard CLL and SLL as two manifestations of the same underlying disease. The difference is essentially geographic — CLL is diagnosed when abnormal lymphocytes are concentrated in the blood, while SLL is diagnosed when they localize predominantly in the lymph nodes and related tissues.
Despite this distinction, both diseases share:
- Slow-growing, ‘indolent’ nature.
- Development from damaged or dysfunctional B cells.
- Similar signs, symptoms, risks, and treatment strategies.
How CLL and SLL Affect the Body
The main difference between CLL and SLL lies in the location and presentation of cancer cells:
| Feature | CLL | SLL |
|---|---|---|
| Primary location of cancer cells | Blood and bone marrow | Lymph nodes and lymphatic tissues |
| Diagnostic focus | Higher lymphocyte count in blood | Enlarged lymph nodes (often normal blood counts) |
| Symptoms | Possible anemia, infections, bleeding | Possible swollen nodes, fullness in abdomen |
| Classification | Leukemia | Lymphoma |
| Treatment approach | Same therapies are effective for both | |
Symptoms of CLL/SLL
Early-stage CLL or SLL often do not result in noticeable symptoms. Many people learn they have these conditions during routine healthcare exams or blood tests. Symptoms may become apparent as the disease progresses and more abnormal B cells accumulate.
- Common symptoms of CLL and SLL include:
- Fatigue or persistent tiredness
- Shortness of breath
- Frequent infections
- Easy bruising or bleeding
- Anemia (low red blood cell count)
- Night sweats
- Unintended weight loss
- Swollen lymph nodes (especially indicative of SLL)
- Feeling full after small meals or tender abdomen (due to an enlarged spleen)
Not everyone experiences all these symptoms, and many individuals may have no symptoms for years.
Causes and Risk Factors
Researchers have yet to pinpoint the exact cause of CLL/SLL. However, several risk factors can increase a person’s chance of developing these conditions:
- Older age (typically diagnosed after age 60)
- Family history of blood cancers
- Caucasian ethnicity (higher risk compared to other groups)
- Exposure to certain chemicals or pesticides
- Genetic mutations in B cells
Like many forms of cancer, these risk factors are not fully determinative. Many people diagnosed with CLL/SLL have none of these risk factors, while others with risk factors may never develop the diseases.
How CLL and SLL Are Diagnosed
Diagnosing CLL or SLL typically involves:
- Comprehensive medical history and physical examination
- Blood tests, especially a complete blood count (CBC) to detect elevated lymphocyte levels
- Flow cytometry and immunophenotyping to identify abnormal B cells and their markers
- Imaging studies (CT scan, ultrasound) to evaluate lymph node enlargement or organ involvement
- Biopsy of lymph nodes (especially when SLL is suspected)
If abnormal B cells are primarily found circulating in the blood, the diagnosis is CLL. If they are mainly in the lymph nodes (with relatively normal blood counts), SLL is diagnosed. In both cases, the key pathological markers—such as CD5 and CD23 positivity—help confirm CLL/SLL rather than other lymphomas.
Management and Treatment Options
CLL and SLL are slow-growing cancers (indolent non-Hodgkin lymphomas) and may not require treatment immediately, especially if the individual is symptom-free and has stable disease. When intervention becomes necessary, several approaches are available:
- Watchful waiting (active surveillance): For many early-stage patients without symptoms, doctors recommend regular monitoring—no treatment unless the disease progresses or symptoms develop.
- Targeted therapy: Medications such as BTK inhibitors (ibrutinib, acalabrutinib) or BCL-2 inhibitors (venetoclax) that act on molecular pathways within cancerous B cells.
- Chemotherapy: Sometimes combined with targeted therapy for more aggressive or advanced cases.
- Immunotherapy: Drugs like monoclonal antibodies (rituximab, obinutuzumab) help the body’s immune system recognize and destroy malignant cells.
- Stem cell transplant: Rarely used, reserved for aggressive or treatment-resistant disease.
- Supportive care: Treating infections, anemia, or managing specific symptoms as needed.
The choice of treatment depends on several factors including age, overall health, symptoms, rate of cancer progression, and genetic mutations within cancer cells. Researchers continue to improve therapies and clinical trials offer options for those who do not respond to traditional treatments.
Prognosis and Outlook
Both CLL and SLL are considered slow-growing, chronic diseases. Some individuals may live for many years without symptoms, or needing only occasional treatment. Prognosis varies, but with recent advances in targeted and immunotherapies, overall survival and quality of life continue to improve.
Possible complications can include:
- Increased risk of infections (due to compromised immune system)
- Anemia and bleeding problems (if bone marrow is affected)
- Transformation into a more aggressive form of lymphoma in rare cases (Richter’s transformation)
Active monitoring, prompt management of symptoms, and individualized treatment strategies are crucial for optimizing outcomes.
Frequently Asked Questions (FAQs)
Q: Are CLL and SLL curable?
A: There is currently no cure for CLL or SLL, but many people live long, fulfilling lives with these chronic diseases thanks to advances in therapies and supportive care.
Q: How are CLL and SLL diagnosed?
A: Diagnosis hinges on blood tests, bone marrow examination, lymph node biopsy, and identification of specific markers (such as CD5 and CD23 positivity) to distinguish CLL/SLL from other lymphomas.
Q: Is treatment always necessary?
A: Not always. Many patients are monitored with active surveillance until disease progression or symptoms develop, at which point treatment is considered.
Q: Do CLL and SLL cause pain?
A: Most people do not experience pain in early stages. Swollen lymph nodes or spleen can sometimes be tender, and symptoms like fatigue and infections may reduce quality of life when present.
Q: What is the risk of infection with CLL/SLL?
A: Both conditions can weaken the immune system, increasing the risk for frequent or severe infections. Monitoring and preventive measures, such as vaccinations, play an important role in care.
Summary Table: Quick Comparison of CLL and SLL
| Characteristic | CLL | SLL |
|---|---|---|
| Primary site | Blood, bone marrow | Lymph nodes, lymphatic tissue |
| Typical diagnosis | High lymphocyte count | Enlarged nodes, biopsy |
| Symptoms | Fatigue, infections, anemia | Swollen nodes, abdominal fullness |
| Treatment approach | Same therapies for both | |
| Prognosis | Often slow progression, many live for many years | |
Key Takeaways
- CLL and SLL are two forms of the same cancer affecting B lymphocytes.
- They differ mainly in the location of abnormal cells, but share causes, symptoms, and treatments.
- Diagnosis depends on blood counts, node biopsy, and pathology.
- Treatment is often postponed until symptoms or disease progression occur.
- Advances in targeted therapies and immunotherapy continue to improve outcomes and quality of life.
Where to Learn More and Find Support
If you have received a diagnosis of CLL or SLL, consider seeking support from reputable organizations including the Lymphoma Research Foundation and cancer helplines. They offer patient education, webinars, support groups, and counseling resources to help navigate your health journey. Working closely with your healthcare team ensures you receive individualized care and access to cutting-edge therapies where appropriate.
References
- https://www.patientpower.info/chronic-lymphocytic-leukemia/living-with-chronic-lymphocytic-leukemia/the-curious-case-of-cll-and-sll-leukemia-lymphoma-or-both
- https://lymphoma-action.org.uk/types-lymphoma/chronic-lymphocytic-leukaemia-cll-and-small-lymphocytic-lymphoma-sll
- https://www.medicalnewstoday.com/articles/cll-sll
- https://www.lymphoma.org/understanding-lymphoma/aboutlymphoma/cll/
- https://pmc.ncbi.nlm.nih.gov/articles/PMC7810253/
- https://www.healthline.com/health/leukemia/cll-vs-sll
- https://lymphoma.org/wp-content/uploads/2024/04/LRF_Understanding-Lymphoma_2023-PART-4.pdf
- https://www.cancersupportcommunity.org/chronic-lymphocytic-leukemiasmall-lymphocytic-lymphoma
- https://cllsociety.org/cll-sll-patient-education-toolkit/understanding-cll-sll/
Read full bio of Sneha Tete










