B-Cell Prolymphocytic Leukemia: Symptoms, Diagnosis, Treatment, and Outlook
A comprehensive guide to B-cell prolymphocytic leukemia, covering symptoms, diagnosis, treatments, and support for navigating this rare blood cancer.

B-Cell Prolymphocytic Leukemia (B-PLL): An In-Depth Guide
B-cell prolymphocytic leukemia (B-PLL) is a very rare and rapidly progressing form of leukemia that affects B-cells, a type of white blood cell. This article provides an extensive overview of B-PLL, covering its symptoms, diagnostic process, treatment options, prognosis, and support resources for patients and families.
What Is B-Cell Prolymphocytic Leukemia?
B-PLL is an uncommon leukemia characterized by the proliferation of abnormal B-cell prolymphocytes in the blood, bone marrow, and other tissues.
Unlike chronic lymphocytic leukemia (CLL), B-PLL is more aggressive and presents unique challenges in diagnosis and management.
It primarily affects older adults and accounts for less than 1% of all cases of leukemia.
How Does B-PLL Develop?
- B-PLL arises from B-cell progenitors in the bone marrow that have become cancerous and multiply rapidly.
- This leads to high levels of abnormal prolymphocytes circulating in the blood.
- The abnormal cells impair normal blood cell production, increasing risk for infections, anemia, and bleeding.
Symptoms of B-Cell Prolymphocytic Leukemia
The signs and symptoms of B-PLL can be subtle initially but tend to develop rapidly as the disease progresses. It’s essential to be aware of these indicators and consult a physician for any persistent or unexplained symptoms.
- Fatigue: Persistent tiredness or weakness, even after rest.
- Fever or night sweats: Unexplained high temperatures or excessive sweating during the night.
- Unintentional weight loss: Significant weight loss without trying.
- Enlarged lymph nodes: Swelling in the neck, armpits, or groin regions.
- Enlarged spleen or liver: May cause abdominal discomfort or fullness.
- Frequent infections: Increased susceptibility due to immune system compromise.
- Shortness of breath: Especially if anemia develops from crowded-out normal blood cells.
- Anemia and easy bruising: Due to reduced healthy red cells and platelets.
These symptoms may be caused by other conditions. Prompt medical evaluation is crucial for accurate diagnosis and timely intervention.
Causes and Risk Factors
The exact cause of B-PLL remains unclear, but several factors have been identified that may contribute to the development of this rare cancer.
- Genetic mutations, especially alterations in the TP53 gene, are commonly found in patients with B-PLL.
- Age: It most often affects older adults.
- Gender: Men may be slightly more likely to develop B-PLL than women.
- History of other blood disorders: Rarely, previous blood cancers or chronic lymphoproliferative disorders may increase risk.
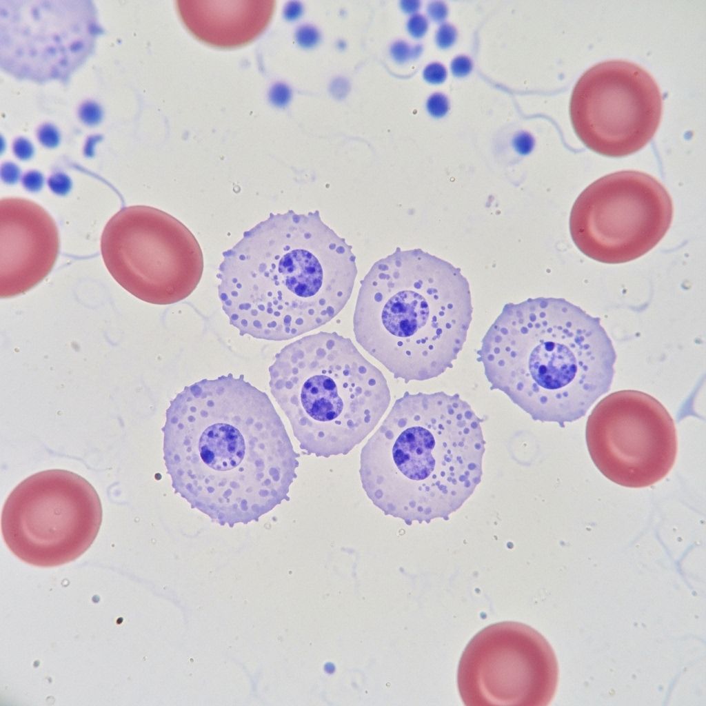
Diagnosis of B-PLL
Diagnosing B-PLL requires a combination of clinical assessment, laboratory tests, and specialized analyses:
- Blood Tests: Complete blood count (CBC) often reveals high white cell counts with abnormal lymphocytes.
- Peripheral Blood Smear: Examining blood under a microscope identifies prolymphocytes with distinct features.
- Bone Marrow Biopsy: Confirms the presence of abnormal B-cell prolymphocytes.
- Immunophenotyping: Uses flow cytometry to detect surface markers unique to B-PLL cells (often CD19+, CD20+).
- Cytogenetic and Molecular Tests: Looks for mutations, such as TP53, that affect prognosis and treatment choices.
- Imaging: Ultrasound or CT may be done if significant lymph node or spleen enlargement is suspected.
Treatment Options for B-PLL
Because B-PLL is rare, no universal standard treatment protocol exists. Management must be tailored to individual patient factors, including overall health, stage of disease, genetic mutations present, and symptom severity.
Primary Treatment Strategies
- Watch and Wait (Active Surveillance): In cases without symptoms, doctors may recommend close monitoring with regular blood tests and physical exams until symptom onset.
| Treatment Option | Description | Indication |
|---|---|---|
| Watch and Wait | Close monitoring of disease without immediate therapy. | No symptoms; stable lab findings. |
| Chemotherapy | Drug regimens to kill leukemia cells; often combined with immunotherapy. Examples: FCR (fludarabine, cyclophosphamide, rituximab), BR (bendamustine, rituximab). | Symptomatic or progressing B-PLL. |
| Targeted Therapy | Drugs that target specific pathways or proteins in cancer cells. Alemtuzumab (Campath), Ibrutinib (Imbruvica), Idelalisib (Zydelig). | TP53 mutations, resistance to chemotherapy. |
| Stem Cell Transplant | Transplantation of hematopoietic stem cells from donor or patient. | Younger, healthy patients with response to initial therapy. |
Chemotherapy and Immunotherapy
- Combinations of chemotherapy agents are used for symptomatic B-PLL, but disease often shows resistance, particularly in those with TP53 mutation.
- Common chemotherapies include:
- Fludarabine
- Cyclophosphamide
- Bendamustine
- Rituximab is a monoclonal antibody used in combination, as it attaches to CD20 on B cells to aid their destruction.
Targeted Therapies
- Alemtuzumab (Campath): Shown benefit in patients with TP53 mutations, especially if traditional chemo fails.
- Ibrutinib (Imbruvica) and Idelalisib (Zydelig): Used off-label; these show promise in treatment-resistant cases.
- FDA approval is pending for these therapies specifically for B-PLL, but their use is increasingly common in clinical practice.
Hematopoietic Stem Cell Transplantation
- Considered for younger, healthy patients who respond to initial treatments.
- Potentially curative, but eligibility is limited by age, health, and disease response.
- Associated with significant risks, including infection, graft-vs-host disease, and complications from immunosuppression.
Supportive Care and Clinical Trials
- Supportive care is crucial: managing infections, blood cell counts, and symptoms to maintain quality of life.
- Given the rarity of B-PLL, clinical trial enrollment is highly recommended for access to new drugs and innovative treatment combinations.
Prognosis and Survival Rates
B-PLL is recognized for its aggressive clinical course and relative resistance to many current therapies. Compared to slower-growing leukemias like CLL, B-PLL tends to progress quickly and is considered more challenging to cure.
- Overall Survival: Median survival is shorter than many other leukemias; estimates range from 2–5 years, but individual outcomes vary.
- Response to Treatment: Some patients experience remissions, but relapses are common.
- Prognostic Factors: TP53 gene mutations, overall fitness, treatment response, and age all impact survival and outcomes.
- Quality of Life: Early and ongoing symptom management, palliative care, and support resources enhance comfort and functional status.
Coping with B-PLL: Support and Resources
The physical and emotional impact of a B-PLL diagnosis can be substantial for patients and their loved ones. Navigating this disease requires comprehensive support and reliable information.
Patient and Family Support
- Medical Team: Lean on your hematology/oncology specialists for guidance through diagnosis and treatment.
- Counseling and Emotional Support: Professional counseling, support groups, and patient communities provide coping strategies and understanding.
- Practical Support: Assistance with transportation, financial issues, and daily tasks can relieve stress and improve well-being.
- Educational Resources: Trusted websites, patient advocacy organizations, and online forums facilitate learning and connection.
Frequently Asked Questions (FAQs) About B-PLL
What distinguishes B-PLL from other types of leukemia?
B-PLL originates from mature B-cells and is marked by a rapid progression and unique resistance to standard therapies. It is much rarer and more aggressive than chronic lymphocytic leukemia (CLL).
Can B-PLL be cured?
Current treatments rarely lead to a cure, with stem cell transplantation being the exception for select patients. Most therapies aim to control disease and symptoms.
Why is B-PLL often resistant to chemotherapy?
Many patients with B-PLL have TP53 gene mutations, which confer resistance to chemotherapy and complicate management. Targeted drugs and new approaches are being studied to overcome these barriers.
Who is at risk for developing B-PLL?
B-PLL typically affects older adults and is slightly more common in men. Risk factors are poorly understood but may include previous blood malignancies and genetic predispositions.
How is B-PLL diagnosed?
Diagnosis involves blood tests, microscopic examination of blood and bone marrow, immunophenotyping, and genetic testing for markers such as TP53.
What should I do if I suspect symptoms of B-PLL?
Consult a doctor promptly. Many symptoms overlap with other illnesses, and early diagnosis is key to managing B-PLL effectively.
Summary Table: B-Cell Prolymphocytic Leukemia Overview
| Aspect | Details |
|---|---|
| Prevalence | Extremely rare; less than 1% of leukemias |
| Typical Age | Older adults |
| Main Symptoms | Fatigue, weight loss, infections, enlarged lymph nodes/spleen |
| Key Diagnostic Tests | Blood tests, bone marrow biopsy, cytogenetics |
| Main Treatments | Watchful waiting, chemotherapy, targeted therapy, stem cell transplant |
| Prognosis | Moderate to poor; variable by individual |
Conclusion: Navigating B-Cell Prolymphocytic Leukemia
B-PLL presents significant challenges due to its rarity, fast progression, and frequent resistance to treatment. With ongoing advances in targeted therapy, immunotherapy, and stem cell transplantation, patients and clinicians have more tools than ever to address this disease. The importance of early diagnosis, tailored treatment, and comprehensive support cannot be overstated. Always consult your healthcare provider for the most current and personalized information.
References
- https://www.healthline.com/health/leukemia/b-pll-leukemia
- https://en.wikipedia.org/wiki/B-cell_prolymphocytic_leukemia
- https://healthtree.org/b-cell-prolymphocytic-leukemia/community/what-are-the-signs-and-symptoms-of-b-cell-prolymphocytic-leukemia
- https://www.medicalnewstoday.com/articles/b-cell-prolymphocytic-leukemia
- https://www.myleukemiateam.com/resources/b-cell-prolymphocytic-leukemia
- https://bloodcancerunited.org/blood-cancer/leukemia/b-cell-prolymphocytic-leukemia-b-pll
- https://pubmed.ncbi.nlm.nih.gov/37187496/
- https://healthtree.org/b-cell-prolymphocytic-leukemia/community/what-is-b-cell-prolymphocytic-leukemia
- https://rarediseases.info.nih.gov/diseases/8223/b-cell-prolymphocytic-leukemia
Read full bio of Sneha Tete










